Eleanor Longden TED Talk on Schizophrenia

Posted on November 11, 2019

0



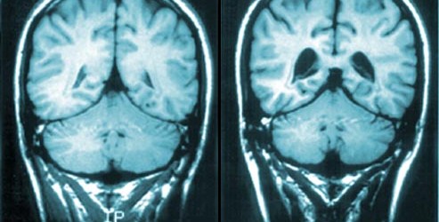
Here’s a TED Talk regarding schizophrenia that we didn’t have a chance to view in class the other day. It’s not often that you hear someone suffering with the disorder be able to speak so publicly about it.

Also, here’s a study from Slate.com regarding the voices heard by some schizophrenics and the relation to internal monologue and the voice-box.

When People With Schizophrenia Hear Voices, They’re Really Hearing Their Own Subvocal Speech